No início do R1 eu estava constantemente frustado pois não estava conseguindo estudar o tanto quanto gostaria. Sempre tive o hábito de estudar escolhendo um assunto e assistindo uma aula completa ou lendo todo o capítulo de um livro, enquanto fazia um resumo e flashcards. Entretanto, pra conseguir fazer isso tudo demora demais, e no R1 falta tempo.
Aos poucos fui percebendo que essa estratégia não ia dar certo. E no dia a dia sempre surgiam tópicos que eu percebia que estava defasado e necessitando me informar mais.
Foi aí que fui criando o hábito de ir “preenchendo as lacunas”. Sempre que escuto algo que não sei ou não lembro, tento o mais rápido possível ir atrás da informação e entendê-la, de forma pontual, sem necessariamente ler tudo. Frequentemente fazendo “leituras dinâmicas” das páginas e salvando-as para futuras consultas se eu quiser ler novamente mais tarde.
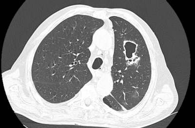
Um exemplo poético com o nome que dei à técnica: nas últimas semanas me deparei com um caso de um paciente internado por insuficiência respiratória e clínica compatível com pneumonia. Sua tomografia mostrava uma grande cavitação pulmonar. Aproveitei um tempinho livre que tinha e pesquisei algum artigo de revisão interessante sobre disgnóstico diferencial de cavitações pulmonares e encontrei esse aqui, da CHEST1. Artigo excelente. E assim, mais uma lacuna (cavidade) foi preenchida.
A imagem da TC de tórax do paciente abaixo. Posteriormente saiu o TRM-TB positivo, confirmando a tuberculose.

Gafoor K, Patel S, Girvin F, et al. Cavitary Lung Diseases: A Clinical-Radiologic Algorithmic Approach. Chest. 2018;153(6):1443-1465. doi:10.1016/j.chest.2018.02.026 ↩